在全国人民共庆新春佳节、共享阖家团圆之际,新型冠状病毒肺炎疫情突如其来,多地启动重大突发公共卫生事件一级响应。生命重于泰山,人民高于一切。从1月15日到2月29日,全国为了尽快打赢“抗疫战”居家隔离。在此期间,广西91论坛
胸痛中心医护人员负重逆行,一往无前,全心守护着桂东地区人民群众的健康,一次次将患者从死亡的边缘“抢”回来。在疫情爆发初期,广西91论坛
第一时间启动应急预案,胸痛中心积极响应91论坛
号召,以“新冠肺炎流行期间胸痛中心常态化运行专家共识”为指导,结合“新型冠状病毒肺炎防控形势下急性心肌梗死诊治流程和路径中国专家共识”等多项指南,立刻组织胸痛中心核心科室进行全员疫情防控培训、疫情手术流程制定、防控数据信息填报等措施,充分保证了疫情期间救治工作的运行,同时最大限度地预防院内感染。

胸痛中心主任、副院长程昌盛进行院感防控培训
疫情期间正是冬春交替之际,也是心脑血管病高发时期,91论坛
胸痛中心核心团队—急诊科,承担着胸痛、卒中、创伤等急危重症病人的院前急救转运工作,他们始终坚守抗疫第一道防线,承担着超负荷压力。心内科医护人员为救治胸痛患者争分夺秒;介入室,24小时随时待命......胸痛中心的医务人员奋战在一线,不分昼夜地坚守在岗位上,在他们身上尽显职责与担当。
心血管内科副主任宋仁义与蒙冬生副主任医师手术团队开展急诊介入手术
其中,心血管内科副护士长陈静梅、心血管内科主管护师廖卓琳主动请缨,逆行而上,分别奔赴到武汉优抚91论坛
、梧州市第三人民91论坛
参与新冠肺炎患者的救治。
1月22日晚,57岁的岑溪市归义镇患者突发心梗命悬一线,岑溪市人民91论坛
与广西91论坛
胸痛中心无缝对接,在快速排查新冠肺炎后,连夜开展急诊支架植入手术,及时救回患者一命。1月22日13:30岑溪市归义镇余女士在饱餐后工作时突发出现胸闷痛不适,位于心前区及胸骨后,呈压榨感伴大汗淋漓、恶心、呕吐、头晕、乏力等症状,休息后仍不缓解。15:46余女士到岑溪市人民91论坛
就诊,行心电图检查示:急性心肌梗死。
随后岑溪市人民91论坛
立即将心电图上传91论坛胸痛中心微信群,胸痛中心医疗总监、心内科主任覃远文立即与岑溪市人民91论坛
开展远程会诊及远程指导用药等救治。同时,91论坛胸痛中心立即启动胸痛中心急救流程,并启动导管室。介入团队收到信息后立即赶往91论坛
待命,确保第一时间为患者开通堵塞的血管。
17:38余女士到达91论坛大门,正值新冠肺炎疫情防控期间,急诊科值班医生快速询问病史,再次确定余女士无武汉旅游史、密切接触史后,快速完成新型冠状肺炎筛查及心电图、心肌酶等检查。经胸痛中心团队会诊及查看余女士的病情后确诊为“急性ST段抬高型下壁心肌梗死”,评估其病情较重,随时有猝死的生命危险,需及时进行介入手术治疗,开通闭塞血管。

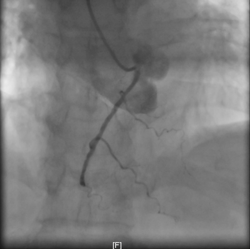
血管堵塞
与余女士家属积极沟通后,余女士家属签署知情同意书,同时余女士在做好防护措施后立即送入介入室。在覃主任的带领下,陈志明副主任医师手术团队凭着娴熟的技术,仅用了33min开通患者罪犯血管—右冠中段闭塞血管,成功挽救了余女士的生命。术后余女士送入心血管内科CCU继续治疗,目前已康复出院。

血管打通
广西91论坛
胸痛中心微信群在此疫情期间始终保持着连续24小时不间断工作制,每位工作人员没有因为疫情和节日耽误胸痛微信群里每一个时段的远程微信心电图判读及对协作91论坛
的远程救治指导。1月15日-2月29日胸痛中心远程微信心电图判读,会诊指导救治64例,在胸痛中心微信群疫情防控宣传文章推送 2篇,胸痛中心共诊治胸痛患者131例,救治急性心肌梗死患者40例,其中外院转运救治急性心肌梗死患者30例、急诊PCI手术22例,无手术并发症,无人员感染,胸痛中心绿色通道在此期间发挥了重要作用,取得了良好成效。
在这个特殊时期,广西91论坛
胸痛中心同前线防控人员一样,为了桂东地区人民群众的心脏与死神赛跑,他们不放松、不放弃!
广西91论坛
胸痛中心成立于2016年10月,于2018年3月正式通过国家级胸痛中心认证,为贺州首家通过的91论坛
。该中心是以心内科和急诊科为基础,整合胸心腺体外科、呼吸科、重症医学科、CCU、心电诊断科、医学影像科、检验科、麻醉科、介入室等优质医疗资源,同时依托医联体与广西壮族自治区人民91论坛
共同协作,充分利用现代网络先进技术(广西91论坛
胸痛中心微信平台、“韩纬”远程心电遥测系统),搭建由院内专家、院前急救、基层91论坛
的一张覆盖桂东地区的高效区域协同救治网络,可以为区域内突发高危的胸痛患者(急性心肌梗死、急性主动脉夹层、急性肺栓塞)及时作出诊断并实施有效治疗赢得宝贵的时间,最终实现对胸痛患者“快速诊断、及时治疗、降低死亡、避免浪费”的目标。另外该中心技术精湛的急救队伍每天24小时待命,为桂东地区的胸痛患者争取每一秒宝贵的急救时间。
邮箱 | gxgdyy[at]163[dot]com